• JUEVES 23
  • de abril de 2026

País

FOTOGRAFIA

EsSalud: médicos del Sabogal extirpan tumor cerebral que comprometía visión del paciente

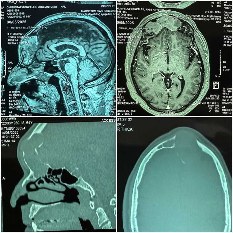
Compleja intervención quirúrgica tardó más de 10 horas, pero salvó la vida de don José Chumpitaz, que ahora mira el futuro con más esperanza junto a sus dos hijas.

Hoy cuenta los días para volver a practicar sus dos grandes pasiones: bailar salsa, y con la camiseta del equipo de sus amores, Alianza Lima, meter goles de media cancha en las pichangas del fin de semana.


Le extirparon el tumor y, a sus 65 años, se recupera en casa de la intervención quirúrgica de alta complejidad que duró más de 10 horas y ha retomado a sus actividades de técnico contable con total normalidad. 

Don José, padre de dos señoritas que lo llenan de besos, ve ahora la vida con renovado optimismo. “Siento un alivio tremendo, por dentro y por fuera. Ya me movilizo solo y tengo la tranquilidad de que los médicos que me atendieron están muy al tanto de mi recuperación”, sostiene.

El Dr. Mirek Marcos Quispe, cirujano plástico facial y otorrinolaringólogo del hospital Sabogal, explica que don José llegó con una tumoración en la frente que ya afectaba su movilidad y visión del ojo derecho.

“Realizamos un trabajo conjunto con el área de neurocirugía. Llevamos a cabo un abordaje endoscópico para la resección del tumor por vía intranasal”, detalla el especialista.

Agrega que la operación duró más de diez horas y aclara que este tipo de tumor no es común. “No es una tumoración frecuente. Son casos bastante aislados”, afirma. Sin embargo, asegura que el porcentaje de éxito en este tipo de intervenciones supera el 90 %. Actualmente, en el hospital realizan extirpaciones de tumoraciones de base de cráneo vía intranasal, sin cortes externos.


Don José está muy agradecido con el personal médico que lo atendió. “Estoy muy agradecido con todo el equipo del hospital Sabogal: los médicos, las enfermeras. Fue una atención de primera, no me puedo quejar. Alguna vez me operaron de apendicitis en una clínica y creo que he recibido un mejor trato en el hospital”, señala.

Detección temprana

El Dr. Marcos señaló que la detección temprana de tumores es crucial, al señalar que los pacientes con molestias, obstrucción nasal, dolor a nivel frontal o algún tipo de deformidad en la zona deben acudir inmediatamente al otorrinolaringólogo para una evaluación especializada.

Intervenciones quirúrgicas de este tipo se enmarcan en el incremento de producción asistencial, uno de los principales ejes de gestión del presidente ejecutivo de EsSalud, Dr. Segundo Acho Mego. 

Lea también en El Peruano

   OTRAS NOTAS QUE TE PUEDEN INTERESAR